Composite Bonding in Loughbrough
- Reshapes and perfects teeth
- An affordable way to transform your smile

Transform Your Smile with Composite Bonding
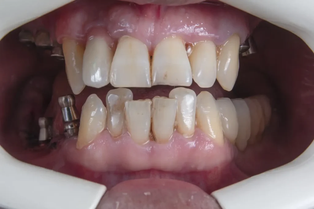
Composite bonding, or dental bonding, involves applying composite filling material to the tooth directly at the chairside. The process requires minimal preparation and is designed to improve the appearance and shape of the teeth. Dental bonding can be used as part of a smile makeover and is sometimes used in conjunction with other treatments such as veneers and crowns.
Composite bonding treatment is great for patients who have
Uneven teeth

Chipped teeth

Tooth discoloration

Peg-shaped teeth

Composite Bonding Treatment

Stage 1 - Consultation
During your consultation, your dentist will assess your suitability for this composite bonding treatment, and talk you through any questions you may have.

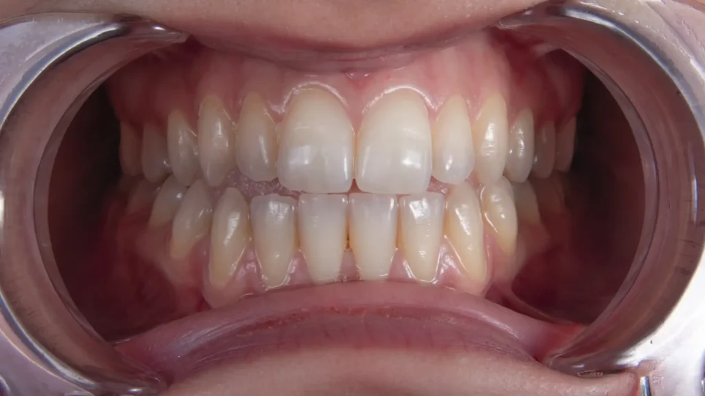
Stage 2 - Treatment
The tooth surface is slightly roughened with a liquid, and composite is carefully applied to the tooth surface, and shaped. It is then polished to look natural and highly cosmetic.

Stage 3 - Follow Up
Overtime, it can stain so we recommend regular visits to they hygienist who may carry out an airflow treatment and polish the bonding for you.
Smile Transformation
Treatment Price
From £300/tooth
What’s Included?
- Composite bonding to reshape and perfect a smile
- Expert advice on how to care for your bond
Frequently asked questions (FAQ)
How long have you been at the practice, when was it started?
Lux Dental opened its doors in the lovely village of Quorn in December 2021, but the business actually began as an idea in 2015 by Dr. Ravi and Dr. Anjli. After graduating, they had always dreamed of owning their own dental surgery and building it from the ground up. After several years of searching, they finally found the perfect location in Quorn to bring their dream into fruition.
What is the history of the practice?
The dental practice where Lux is currently situated was previously owned by David Armstrong and operated under the name Armstrong Dental. In December 2021, Dr Ravi and Dr Anjli took over the surgery and rebranded it as Lux Dental.
Since taking over the dental surgery, we have significantly evolved the practice and have plans to continue evolving. We have transformed the surgery from a basic dentistry practice to a multidisciplinary one that now offers complex treatments such as root canals, dental implants, Oral surgery, cosmetic dentistry and adult orthodontics
The Practice now
Since taking over the dental surgery in 2021, we have dedicated a lot of time and resources into creating a practice that is both service and technology orientated. We have fully embraced digital technology and now have an intra oral scanner, which can scan teeth for crowns, implants and Invisalign. Additionally, we recently invested in a CT scanner at our sister practice, which helps us provide the best care to our patients by aiding in the diagnosis of any issues. We have also recently invested in a very “snazzy” laser which helps to repair teeth that may have been deemed unrestorable in the past.
Which partners do you have?
At Lux Dental, we only partner with cutting- edge companies that are leaders in dental technology. We offer Invisalign for our patients looking for straight teeth and work with Straumann for dental implants. Additionally, we have an in-house dental plan run in partnership with Practice Plan that gives patients access to quality dental care, whether it be routine or emergency.
Brands we work with at Lux Dental
Lux Dental is an Enlighten Whitening regional centre of excellence and is the largest provider of Enlighten Whitening in the midlands region
We are Invisalign platinum elite providers
We only use high quality Straumann Dental Implants
All our indirect lab work, such as crowns, bridges and Invisalign are carried out using our state-of-the-art Itero scanner.News
In our first year own ownership, we have been able to increase our patient base by 25% due to our hard work, dedication and professionalism. We strive to treat our patients with the same care and respect that we would want for ourselves and always do our best to save teeth whenever possible.
We are thrilled to be part of the Quorn Community and have received a very warm welcome and support from the village as a whole.
What are the values of your business?
At Lux Dental, our number one priority has always been the needs of our patients. We are a friendly, family-run practice with a team that has a wealth of experience in all areas of dentistry. Whether you are looking for a family dentist, a high-end cosmetic dentist or even an Implantologist, we offer a complete range of services all under one roof.
We want you to feel as relaxed as possible at our surgery. Every aspect of your visit has been carefully designed to create a calming and comfortable environment. From the pleasant smells to our ceiling-mounted TVs, our goal is to remove any fears or concerns you may have when coming to see the dentist. We strive to create a welcoming and enjoyable experience at our practice
How do you differ to other dentists?
At Lux Dental, we never rush our patients and always taken the time to address their concerns. We listen carefully and understand that a one-size-fits-all approach does not work in dentistry, so we always strive to provide our patients with individualised, bespoke treatment plans.







